TBL Group 10 - E-Team Based Learning’s Updates
-
Application Question #2.2
The previous week he visited a local petting zoo, where he consumed a salad and hamburger that may have been undercooked per the family report. In the Emergency Department he is afebrile and physical exam is notable only for dehydration. White blood...More
-
Application Question #2.1
Application Exercise 2
A 4-year-old male is brought in to the Emergency Department by his parents with several days of diarrhea. He reports 10-12 watery bowel movements each day. On the day of presentation, he developed bleeding and pain with bowel...More
-
Application Question #2.1
Application Exercise 2
A 4-year-old male is brought in to the Emergency Department by his parents with several days of diarrhea. He reports 10-12 watery bowel movements each day. On the day of presentation, he developed bleeding and pain with bowel...More
-
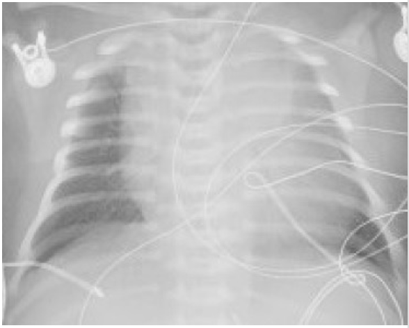
Application Question #1.2
You order a blood gas test and a chest x-ray. The neonate’s x-ray is shown here. What is the pathophysiology of the most likely diagnosis?
INSTRUCTIONS...More
-
Application Question #1.1
Case 1 Presentation
20-year-old female presented to OB triage with c/o abdominal cramping and clear fluid draining from her vagina since last night. She notes that her last menstrual period (LMP) was 6 months ago. A pregnancy test at her primary ca...More
-
Application Question #1.1
Case 1 Presentation
20-year-old female presented to OB triage with c/o abdominal cramping and clear fluid draining from her vagina since last night. She notes that her last menstrual period (LMP) was 6 months ago. A pregnancy test at her primary ca...More
-
Application Question #3
Question #3
The patient returns a week later to discuss her lab results. You’ve made a tentative diagnosis of polymyositis. She has developed a rash on the face that is not painful or itching her, but seems to be getting progressively darker and de...More
-
Application Question #2
Question # 2
You obtain a chemistry panel and a creatine kinase level. The creatine kinase is 14,000 U/L (normal < 145 in a female), and the remainder of the chemistry is unremarkable. What additional labs would be most useful at this juncture?...More
-
Application Question #1
Welcome back to CGScholar! In this TBL, you will engage in oral interaction in Zoom with written discussion in CGScholar
INSTRUCTIONS
Application Problem #1
Mrs. Jones is a 57-year-old female with a history of hypertension, nicotine abuse wh...More
-
Murder Mystery Application Problem 2
The ER physician sent a sample of John’s blood to a commercial lab to be tested for poisoning. Upon getting this result, Dr. Jones starts John on bicarbonate, glucose, and an ethanol drip
Why was the ethanol IV drip used?
INSTRUCTIONS:...More



